ما هي الخلايا القاعدية؟

ما هي الخلايا القاعدية؟
ما-هي-الخلايا-القاعدية؟/

الخلايا القاعدية

ما هي الخلايا القاعدية؟

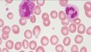
خلايا الدم البيضاء هي من مكونات الجهاز المناعي الحيوية، حيث ينتج الجسم أنواعًا مختلفة من خلايا الدم البيضاء التي تعمل كوسيلة دفاع ضد الأجسام الغريبة مثل الفيروسات والبكتيريا والفطريات، ومن أنواعها الخلايا القاعدية والتي تعرف بالخلايا المحببة لاحتوائها على الحبيبات، وهناك أنواع أخرى من الخلايا المحببة كالخلايا الحامضية والمتعادلة، وتستخدم الخلايا القاعدية الحبيبات لإفراز بعض المواد مثل الهيبارين والهيستامين وجزيئات أخرى تلعب دورًا مهمًا في محاربة العدوى، من خلال الاستجابة لمسببات الحساسية بإطلاق الهستامين المسؤول عن الالتهاب أثناء تفاعل الحساسية، وتعمل على تحفيز استجابة الجهاز المناعي لمسببات العدوى والأجسام الغريبة، وبالإضافة إلى ذلك فإنها تفرز الهيبارين الذي يعد أساسيًا في منع تخثر الدم. [١]


وظائف الخلايا القاعدية

بماذا تتمثل وظيفة الخلايا القاعدية في جسم الإنسان؟

تشكل الخلايا القاعدية أقل من 3% من خلايا الدم البيضاء، وعندما يصاب الشخص بعدوى ناتجة عن جرح بسببب السقوط أو لأي سبب آخر فإن الخلايا القاعدية هي أفضل ما يمكن الاعتماد عليه في حماية الصحة، فبالإضافة إلى محاربة العدوى الطفيلية فإن وظائف الخلايا القاعدية تكون كالآتي:[٢]

  • منع تخثر الدم وذلك لاحتوائها على مادة الهيبارين التي تمنع تجلط الدم بشكل طبيعي عن طريق المساهمة في ترقق الدم .
  • تلعب دور الوسيط في تفاعلات الحساسية عند تعرض جهاز المناعة لمسببات الحساسية وأثناء تفاعلات الحساسية تعمل على إفراز الهستامين.
  • كما ويعتقد أن لها دور مهم في تحفيز الجسم لإنتاج الجلوبيولين المناعي، وهو جسم مضاد يرتبط بالخلايا القاعدية والخلايا البدنية المشابهة لها، وتعمل هذه الخلايا على إطلاق مواد مثل السيروتونين والهستامين والتي توفر الاستجابة المناعية في مناطق الجسم التي تعرضت لأحد مسببات الحساسية.


سرطان الخلايا القاعدية

ما هو سرطان الخلايا القاعدية؟ وكيف يمكن تقليل خطر الإصابة بهذا السرطان؟

سرطان الخلايا القاعدية هو أحد أنواع سرطانات الجلد حيث يظهر على شكل نتوء شفاف على سطح الجلد، ويمكن أن يظهر بأشكال أخرى، ويصيب السرطان مناطق الجسم المعرضة لأشعة الشمس فوق البنفسجية بكثرة مثل الرأس والرقبة، وقد يساعد تجنب التعرض للشمس بكثرة واستعمال الواقيات الشمسية على تقليل خطر الإصابة بالسرطان، وفي حالات قليلة يمكن أن يتطور في أجزاء الجسم المحمية من الشمس كالأعضاء التناسلية، ويحمل السرطان خصائص مميزة وقد تكون إحدى الخصائص الآتية:[٣]

  • نتوء شفاف أو بلون الجلد أو باللون الأبيض أو اللؤلؤي؛ وهذا يعني أنه بالإمكان الرؤية من خلاله وتكون الأوعية الدموية الصغيرة مرئية، ويكون النتوء أغمق عند أصحاب البشرة الداكنة ولكنه يبقى شفافًا، ويظهر النتوء على الوجه والأذنين وقد يتمزق وينتشر وينزف.
  • نتوء ذات بقع داكنة تظهر باللون الأسود أو البني أو الأزرق، وتكون حدودها مرتفعة وشفافة.
  • رقعة مسطحة ومتقشرة بلون أحمر وحافتها مرتفعة، وتظهر بشكل أكبر على الظهر أو الصدر، ويمكن أن يصبح حجم هذه البقع كبير جدًا بمرور الوقت.
  • نتوء أبيض شمعي يشبه الندبة وليس له حدود واضحة وهو من أنواع السرطان الأقل شيوعًا .

المراجع[+]

  1. "Everything you need to know about basophils", www.medicalnewstoday.com, Retrieved 2020-04-25. Edited.
  2. "Everything You Need to Know About Basophils", www.healthline.com, Retrieved 2020-04-25. Edited.
  3. "Basal cell carcinoma", www.mayoclinic.org, Retrieved 2020-04-25. Edited.